Práctica médico de PCE rescate cerebral a paciente con embolia
La intervención de cirugía estuvo a cargo del médico radiólogo neuro-intervencionista Alejandro Rodríguez Orozco, con equipo de hemodinamia del Hospital Ángeles Chihuahua
Velvet González / El Heraldo de Chihuahua
Un especialista de Pensiones Civiles del Estado, practicó un rescate cerebral vascular a una derechohabiente de 72 años, quien pese a ser diagnosticada con embolia, logró recuperar la movilidad y el habla.
La intervención de cirugía estuvo a cargo del médico radiólogo neuro-intervencionista Alejandro Rodríguez Orozco, con equipo de hemodinamia del Hospital Ángeles Chihuahua.
PCE informó que la paciente contaba con antecedente de arterioesclerosis y "lesiones en las carótidas", lo que le provocó la pérdida de fuerza de maneta súbita en la mitad cuerpo.
El informe de PCR señala que "presentó afasia, pérdida del lenguaje y parálisis facial".
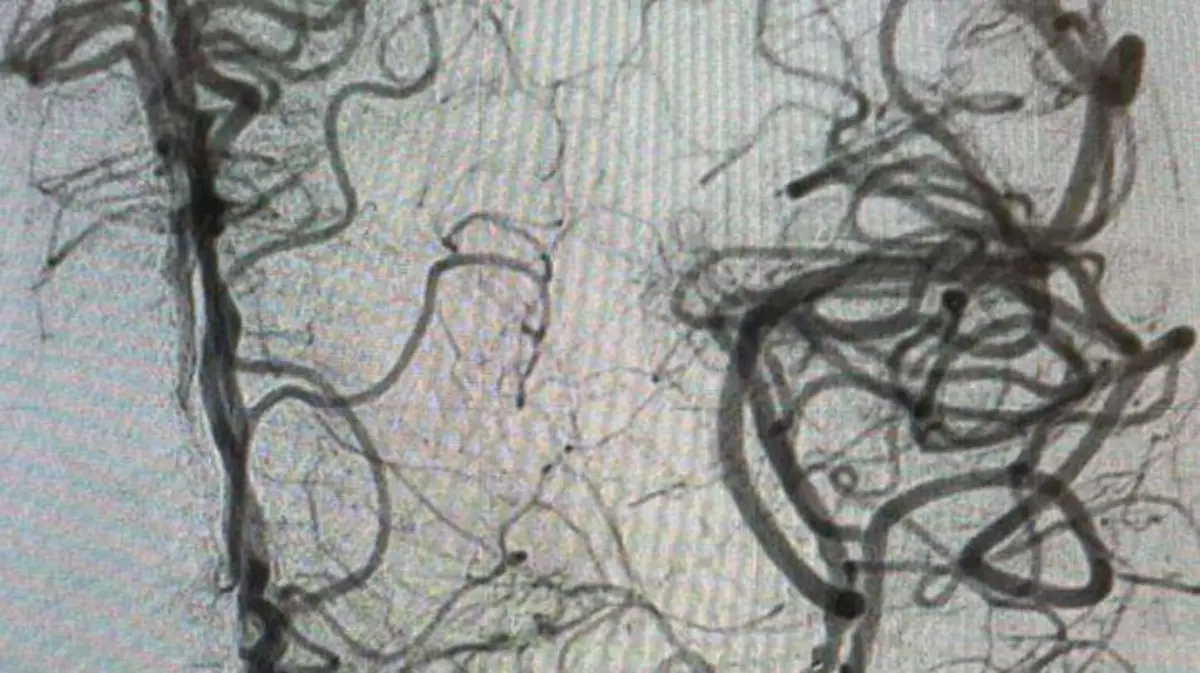
Para atender este caso, se le practicó una resonancia magnética; se le detectó la obstrucción de una arteria por un coágulo; y fue identificada la zona de afectación".
Posteriormente, se efectuó el rescate, para lo cual procedieron a introducir catéteres de la ingle hasta el cerebro.
➡️ Recibe las noticias directo a tu celular. Suscríbete aquí a nuestro canal de WhatsApp
Cabe señalar que la arterioesclerosis ocurre cuando los vasos sanguíneos que llevan el oxígeno y nutrientes del corazón al resto del organis se engrosan y endurecen.
Esta condición, restringe el flujo sanguíneo a los órganos y tejidos, y a veces rompe alguna de las placas, provocando el desprendimiento de un coágulo que obstruye las arterias cerebrales.




























