3LOCALPablo Lemus anuncia regreso de oficinas estatales al Centro Histórico para reactivar la economía
8 de enero de 2026El productor Gabriel Varela sobrevivió a bacteria carnívora tras siete cirugías y dos infartos
10 de noviembre de 2025En México la tercera causa de muerte es el cáncer; el INCan advierte rezagos en diagnóstico temprano
23 de julio de 2025¿Qué es un infarto en el nervio óptico? Montserrat Oliver dice que perdió parcialmente la vista por el padecimiento
25 de noviembre de 2024Un profesor de la Preparatoria de Tonalá Norte se desplomó y falleció de un infarto
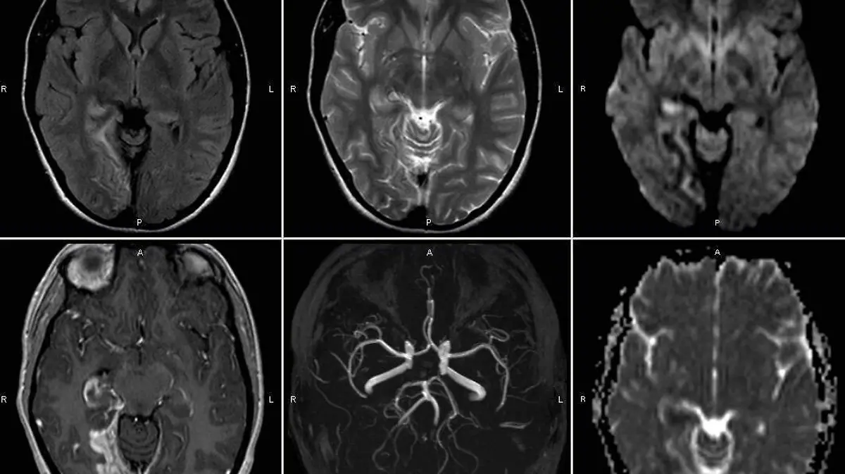
5 de noviembre de 2023Infarto cerebral, la enfermedad silenciosa que deja secuelas a quienes sobreviven
MUNDOJesse Jackson, el último testigo de Martin Luther King y que años después entrevistó a su asesino
LOCALJalisco registra la primera muerte por sarampión en 2026; autoridades llaman a reforzar la vacunación
TENDENCIAS¿Caminar en cuatro patas como los Therians puede ser bueno para la salud? Esto dice la ciencia